The image shows a woman with long hair smiling at the camera, wearing a white top, standing outdoors during daylight.

Smile Gallery

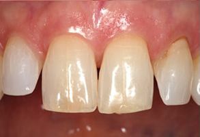
The image shows a person with an open mouth displaying yellowed teeth and gums, which suggests poor oral hygiene or dental health issues.

Before

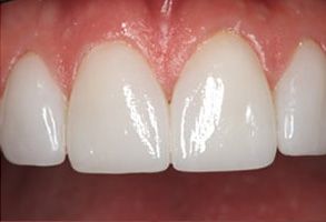
The image shows a close-up of a person s smiling mouth with white teeth and pink gums.

After

The image shows a close-up view of two sets of teeth with yellow stains, one on the left appearing cleaner than the other, which has a pinkish hue.

Before

The image shows a close-up of a person s teeth with significant discoloration and staining, particularly noticeable on the front teeth, which are yellowed and have darker stains.

After

The image shows a close-up of a person s smiling face with crooked teeth.

Before

The image shows a close-up of a person s mouth with teeth, smiling at the camera.

After

The image shows a close-up view of a person s teeth with visible dental work, specifically a bridge or veneer, which is being used to repair or enhance the appearance of the teeth.

Before

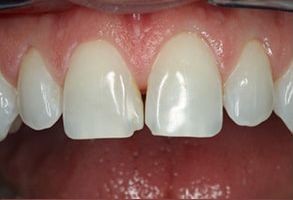
The image shows a close-up view of a person s teeth with an emphasis on a large front tooth that has been veneered, displaying a contrast between the natural and enhanced appearance.

After

The image shows a side-by-side comparison of two views of a person s teeth with yellowing and staining, one with a close-up view focusing on the front teeth and the other showing a full set of teeth.

Before

The image displays a close-up view of a person s teeth, showcasing a bright smile with white teeth and pink gums.

After

The image shows a close-up of a person s teeth with visible signs of wear and yellowing, suggesting poor oral hygiene or dental health issues.

Before

The image shows a close-up of a person s teeth with a focus on a large gap between the front teeth, which appears to be an area of concern for dental work.

After

The image shows a close-up of a person s teeth with a visible gap between them, which appears to be held together by metal clamps.

Before

The image shows a close-up view of a person s teeth with an emphasis on a large gap between two front teeth, which are prominently visible against the backdrop of other teeth.

After

Schedule a visit today!
Contact Us
SMS Consent
Submit

Thank You!

We appreciate you taking the time to visit our site. We'll review your message and be in touch with you soon.

Continue
The image shows an interior space with two walls featuring different paintings. One painting depicts a forest scene with trees, rocks, and a river, while the other features a group of people. There is a long wooden counter in front of these paintings with chairs on either side, and a person sitting at the counter. The counter has a sign that reads  Welcome to  name ,  and there are Christmas decorations visible.